0120-39-8461
お問い合わせ
WEB予約
LINE相談
目立たないマウスピース矯正とは
当院の実績/インビザライン治療
症例
治療費
インビザラインとワイヤー矯正の違い
よくある質問
当院の流れ/無料相談について
医療法人なかお歯科
北九州セントラル歯科 小児歯科 矯正歯科
0120-39-8461
症例集
インビザライン
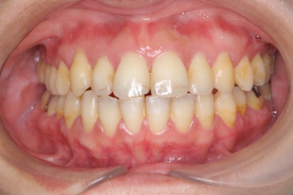
before
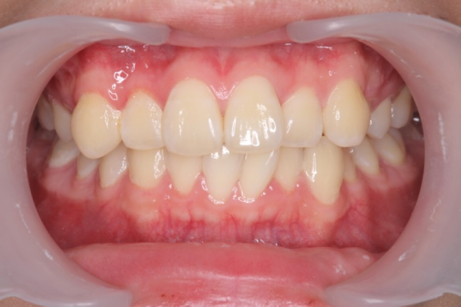
2024.01.11
インビザライン
48歳/女性 前歯が出ている
after
画像・内容を見る
before
2024.01.11
インビザライン
29歳/女性 前歯が出ている
after
画像・内容を見る
before
2023.11.17
インビザライン
29歳/女性 反対咬合が気になる
after
画像・内容を見る
before
2023.11.17
インビザライン
22歳/男性 全体の並びが気になる
after
画像・内容を見る
1
2
ALL
インビザライン
お問い合わせ
contact
インビザラインや歯並びに関するお問合せは 、下記フォームにて受け付けております。当院では、インビザラインの経験豊富なドクターが治療を行います。分からないことや不安なこと、気になることがあれば、何でもご相談ください。
無料相談の来院予約はこちら
LINEで気軽に相談はこちら
必須
お名前
必須
フリガナ
必須
性別
男性
女性
無回答
必須
メールアドレス
必須
電話番号(携帯可)
必須
ご相談内容
必須
個人情報の取り扱い規定
個人情報の取扱規程に同意する
当社の
プライバシーポリシー
について同意される方のみ送信できます。
内容をご確認の上、
送信ボタンを押してください。
歯並び・矯正 無料相談受付中