before
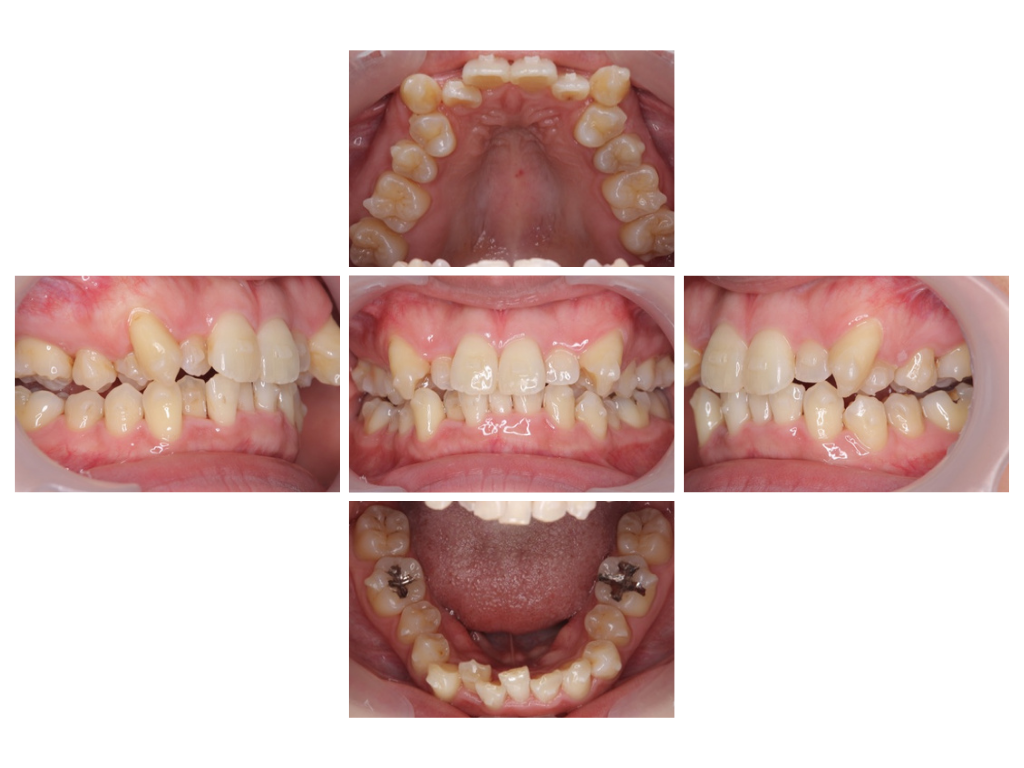
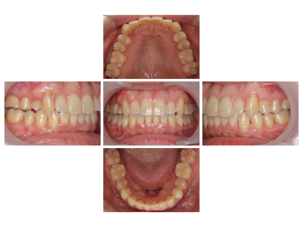
40代/女性 歯のガタガタが気になる
期間 ➖ 4年6か月
費用 ➖ 880,000円(税込・調整料込)
治療内容 ➖ 歯並びがデコボコしていたため、顎の横幅を広げてスペースを作り、きれいに並べました。
前歯が前に出ないように、噛み合わせのバランスを整えながら治療を進め、上下の真ん中の位置(正中)も揃えました。




📌矯正治療に伴う主なリスク・副作用
・歯の移動による痛みや違和感
・清掃不良による虫歯・歯周病のリスク
・治療後の後戻りと保定装置の必要性
・治療結果や期間には個人差があります